國常會通過《關于深入實施“人工智能+”行動的意見》,為醫療健康行業按下了“加速鍵”

7月31日,國務院總理李強主持召開國務院常務會議,審議通過《關于深入實施“人工智能+”行動的意見》。系統部署規?;瘧?、生態構建與安全治理框架。會議指出,要深入實施“人工智能+”行動,大力推進人工智能規?;虡I化應用,推動人工智能在經濟社會發展各領域加快普及,深度融合,形成以創新帶應用,以應用促創新的良性循環。
人工智能賦能全鏈條產業
醫療健康是重點領域
國常會通過《關于深入實施“人工智能+”行動的意見》,為醫療健康行業按下了“加速鍵”。從技術研發到落地應用的全鏈條都將迎來爆發期。
在確保安全前提下,推動新技術、新產品和新場景的大規模應用示范行動,重點發展低空經濟、教育培訓和醫療健康等領域,避免市場"碎片化"。重點支持人工智能在醫療健康行業的應用,尤其是大模型在各垂直領域的發展,推動醫療健康產業轉型與升級,實現新質生產力提升。
啄醫生智能體平臺
健培依托自主研發的科創平臺,打造了全生命周期、全產業鏈條、全業務流程的智能體醫療典型場景應用示范。

基于啄醫生醫療大模型的啄醫生智能體平臺,全面賦能公立醫院、醫聯體、縣域醫共體、健康及慢病管理,有利于打通醫療與健康兩個閉環。在醫生端提供AI輔助診斷、臨床決策支持和遠程會診;在管理端實現智能分診、檢查檢驗互通和藥品耗材優化;在患者端開展疾病監測、個性化健康指導和家庭醫生賦能;在決策端支持績效智能考核、疾病預測和資源調配。該平臺如同"數字神經中樞",有效破解智慧醫院建設評級、以及基層醫療人才短缺、資源不均等難題,推動公立醫院高質量發展,全面提升基層醫療服務能力和運行效率。
從“人工智能”到“人工智能+”
融合是關鍵
人工智能強調技術本身,“人工智能+”更強調技術與行業、場景的融合。這一概念演進體現了國家戰略思維的躍遷。從“互聯網+”到“人工智能+”的戰略躍遷,標志著AI不再僅是輔助工具,而是通過系統性增強產業功能,重構生產邏輯與價值鏈。
啄醫生AI輔助診斷平臺
健培始終致力于新一代人工智能+醫療健康行業融合創新應用。啄醫生AI輔助診斷平臺,通過訓練海量的醫療數據,能夠快速、準確地識別疾病,為醫生提供可靠的診斷建議。在人工智能輔助診斷中的一大技術亮點是多模態數據融合。通過整合影像、病理、基因等多維度數據,能夠更全面地分析患者的病情,提供更精準的診斷建議。

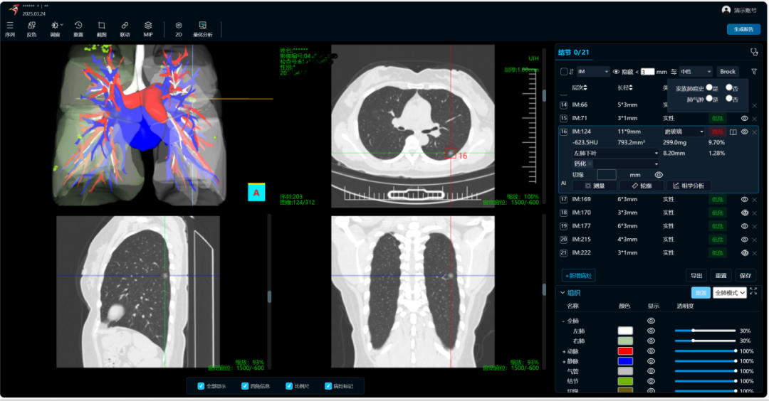
以肺癌篩查為例,傳統的CT影像診斷依賴于醫生的經驗,容易出現漏診和誤診。而基于啄醫生醫療大模型的AI輔助診斷系統,能夠自動分析CT影像,識別出微小的肺結節,并判斷其惡性概率。據統計,某三甲醫院引入AI輔助診斷系統后,肺癌早期篩查的準確率提高了20%,大大提升了診斷效率。

啄醫生不僅能可以幫助醫生深度整合患者的電子病歷、檢驗報告、藥物過敏史、基因檢測等數據,結合最新臨床指南和藥物知識庫,為醫生生成個性化的用藥方案建議。還可以為患者提供離院后的持續服務,特別是在慢性病多藥聯用場景中,可智能識別潛在藥物相互作用風險,通過用藥提醒、隨訪提醒、居家檢測、動態跟蹤等各項服務為患者推薦用藥方案。構建“診前-診中-診后”的閉環的薦藥服務生態體系,讓精準用藥貫穿管理全流程,為健康保駕護航。
“人工智能+”實施措施
政策強調要著力優化創新生態:強化算力、算法和數據供給,加大政策支持力度,加強人才隊伍建設,構建開源開放生態體系,為產業發展壯大提供有力支撐。 提升安全能力: 加快形成動態敏捷、多元協同的人工智能治理格局,確保人工智能應用安全可靠,促進人工智能健康有序發展。

醫療大數據與多模態知識融合
健培科技承擔了2025年浙江省“尖兵領雁+X”科技計劃(尖兵)-《新一代智能醫療大數據與多模態知識融合關鍵技術研究-大模型智能體驅動的醫療多模態知識融合技術及可信共享平臺研發》。

主要研究內容包括:大模型智能體驅動的醫療多模態知識融合可信共享平臺等4項子課題,并通過多模態醫療知識引擎技術等4項技術對關鍵技術進行創新。旨在解決醫療行業中采集標準不統一、存儲共享難度大、診療智能化不足等“卡脖子”痛點問題。更標志著我國醫療科技朝著大模型智能體驅動的多模態融合方向快速發展。
人工智能賦能,共創美好未來
人工智能作為引領新一輪科技革命和產業變革的戰略性技術,將在未來深刻改變生產方式、生活方式和思維方式。通過深入實施"人工智能+"行動,將加速人工智能技術在各領域的深度融合,為經濟社會發展注入新動能,助力構建現代化產業體系,推動高質量發展。